SİTOGENETİK ANALİZLER
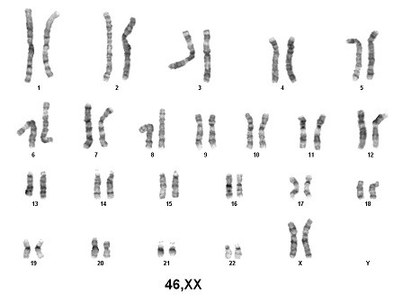
Konvansiyonel, sitogenetik testler (karyotip analizi), klinikte çok çeşitli genetik hastalıkların tanısının konulmasını sağlamakta ve tedaviyi yönlendiren önemli bilgiler sunmaktadır. Metafaz hücre aşamasında, sayısal ve yapısal kromozomal değişimler analiz edilmektedir. Sitogenetik alanında kromozomlar üzerinde yapılan incelemeler ile prenatal ya da postnatal dönemde genetik anomaliler, hematolojik kanserler, solid neoplaziler, infertilite ve gebelik kayıplarına neden olan değişimler tespit edilebilmektedir. Test sonuçlarına göre sitogenetik testler; uygun moleküler genetik, moleküler sitogenetik ve yeni nesil dizileme teknolojileri (Next Generation Sequencing) ile konfirme edilmektedir.

- Cinsiyet gelişim bozuklukları
- Prenatal dönemde anomaliler (Amniyon sıvısı, CVS ve abort örneklerinde prenatal tanı)
- Kromozom kırık sendromları (Fanconi Anemisi, Ataksi telenjiektazi gibi)
- Öğrenme bozuklukları ve/veya konjenital anomaliler
- Mozaizm çalışmaları
- Hematolojik kanserler
- Solid tümörler analiz edilebilmektedir.
| Sitogenetik Testler |
|---|
| Kromozom Analizi (Periferik Kan) |
| Kromozom Analizi (Amniyon Sıvısı) |
| Kromozom Analizi (CVS) |
| Kromozom Analizi (Abort) |
|
Kromozom İnstabilitesi/Kromozom Kırık Sendromları (Ataxia Telangiectasia, Bloom Sendromu, Fanconi Anemisi, Nijmegen Breakage Sendromu) |
|
Hemato-Onkoloji Sitogenetik Testleri (Kemik iliği, kan, solid tümör örneklerinde kromozom analizi, kimerizm analizi) |
Kromozom Analizi Endikasyonları (Periferik Kan)
- Dismorfik özellikler
- Gelişim geriliği
- Mental retardasyon
- İnfertilite
- Tekrarlayan gebelik kayıpları
- Aile öyküsü
Kromozom Analizi Endikasyonları (CVS ve Amniyon)
- İleri maternal yaş
- Habituel abortus (İlk trimesterda üç veya daha fazla, ikinci trimesterda iki veya daha fazla gebelik kaybı görülmesi)
- Anormal ultrason bulguları
- Daha önce kromozom anomalisi olan abortus varlığı
- Eşlerde anormal karyotip varlığı (Dengeli translokasyon taşıyıcıları)
- Yakın aile bireylerinde kromozom patolojisi bulunması
- Daha önce karyotip analizi yapılmamış multipl major malformasyonlu infant doğum hikayesi
- Anormal maternal serum tarama sonuçları
Kaynaklar:
1. Binns V., Hsu N., Prenatal Diagnosis Nature Publishing Group Published Online: 20 JUN 2001 DOI: 10.1038/npg.els.0002291
2. Parsons L, Kean L. Guideline for Prenatal Diagnostic Testing (Chorionic Villus Sampling and Amniocentesis) and Communication of Results. Nottingham University Hospitals. Ratified by Maternity Guidelines Group June 2015.
Kromozom Analizi Endikasyonları (Abort)
Eşlerden ve abort materyalinden kromozom analizi endikasyonları
1. Fetüs ve embriyoda anöploidi araştırılması
2. Fizik muayene ve otopside fetal dismorfizim
3. Anomalili veya mental retarde çocuk öyküsü
4. Tekrarlayan mol gebeliği veya blighted ovum (boş gebelik) hikayesi
5. Bireyde ya da ailesinde genetik hastalık, konjenital anomali veya gebelik kaybı öyküsü
6. Gebelik kayıplarının diğer tetkikler ile açıklanamaması durumunda
Kaynaklar:
1. Ford HB, Schust DJ. Recurrent Pregnancy Loss: Etiology, Diagnosis, and Therapy. Rev Obstet Gynecol. 2009; 2(2):76-83,
2. Carp H.J.A.. Recurrent Miscarriage: Genetic Factors and Assessment of the Embryo. IMAJ 2008; 10:229–231
3. Haemostasis and Thrombosis Task Force, British Committee for Standards in Haematology. Investigation And Management Of Heritable Thrombophilia. Br J Haematol. 2001; 114(3):512-28.